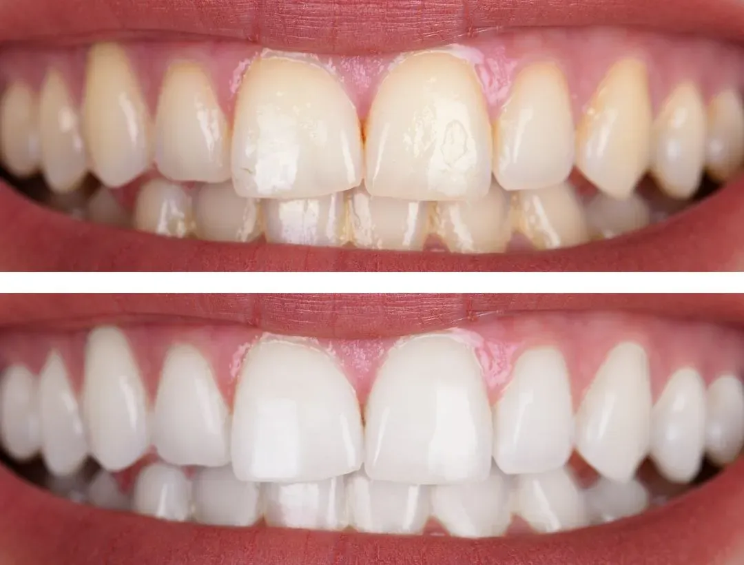
Smile Gallery Webster, TX
See the Difference a Confident Smile Can Make
At Clear Lake Dental Care, we love helping patients feel more confident in their smiles. Our Smile Gallery highlights real results from treatments designed to improve dental health, function, and appearance.
Before and After


